- 当前位置:Home>蛋白学>His标签纯化树脂(Ni-NTA Resin)
货号
| 名称
| 规格
| 价格(元)
| 说明书
|
| C0401 | His标签纯化树脂(Ni-NTA Resin) | 20 ml(50%浆体) | 800 |  |
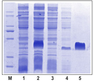
Ni-NTA纯化树脂,又叫his标签纯化树脂,是用于纯化6xHis标签重组蛋白的一种纯化介质,它是由4%交联的Sepharose耦连了一种四齿螯合剂NTA而得. Ni-NTA树脂用于在非变性或变性条件下纯化任何表达系统表达的6xHis标签重组蛋白。NTA,含有四个螯合区,较一般的三齿螯合剂能更好的结合Ni2+。6xHis可与Ni2+螯合,从而使His标签蛋白结合在Ni-NTA纯化介质上,未结合的蛋白被洗涤下去,结合在介质上的蛋白经过一定浓度的咪唑或低PH缓冲液被温和的洗脱下来,从而得到高纯度的目的蛋白。