货号
| 名称
| 规格
| 价格(元)
| 说明书
|
| C0302 | 预染发光Western Marker | 100μl | 320 |  |
| 500μl | 1,250 |
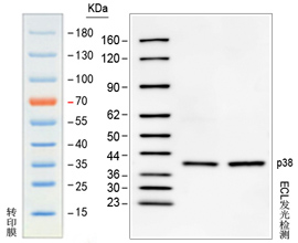
预染发光Western Blot Marker是专门为Western Blot 试验设计的分子量标准。传统的Western Blot 试验需要使用预染蛋白Marker来跟踪检测阳性抗原信号和转膜效率。 但预染蛋白Marker无法在胶片上曝光,曝光信号需要根据膜上的预染蛋白Marker来判断,HaiGene自主研发的第二代预染发光Western marker综合了预染marker和发光marker的优势,既能通过预染marker检测转膜效率,又能在胶片上与目的蛋白同时曝光,这样就使得目的蛋白的判断更加方便而准确。
HaiGene的预染发光Western Marker由9种发光蛋白和9种预染蛋白组成,其中9种发光蛋白分别为23、30、36、44、50、62、90、120和160KDa,它们均可与抗体结合, 因此能与抗原在同一张胶片上曝出信号,阳性信号可以直接通过Western Marker的位置来判断;9种预染蛋白分别为15、25、35、40、40、55、70、100、130和180KDa,其中70KDa为红色,其他为蓝色,用于SDS-PAGE胶电泳时控制蛋白的电泳分离率和监测蛋白转膜效率。该预染发光Western marker可适用于荧光检测和化学发光法Western Blot检测。
主要特征